Services

Implant Supported

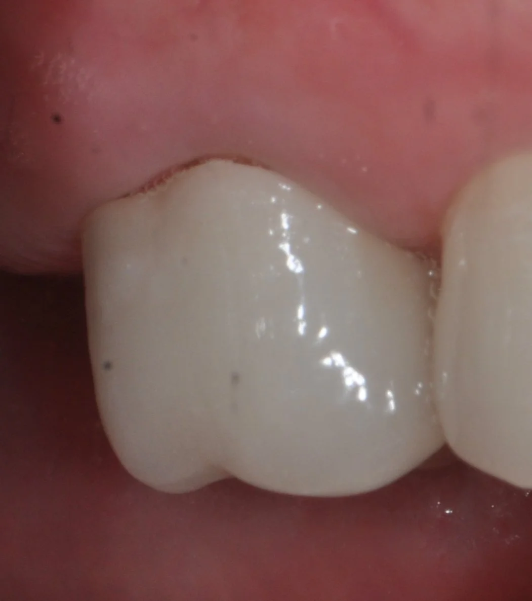
Crown

An implant supported crown can be used to fill in the space of a missing tooth. Metal, ceramics or a combination of the two may be used to restore the tooth. Dr. Minton can help you choose the appropriate material based on the location in the mouth and esthetic needs. There are different types of connections that can be used, and Dr. Minton can determine which style would be best for you.

Fixed Partial Denture (Bridge)

An implant supported fixed partial denture or “bridge” can be used to fill in the space of multiple adjacent missing teeth. Metal, ceramics or a combination of the two may be used to restore the teeth. Dr. Minton can help you choose the appropriate material based on the location in the mouth and esthetic needs. There are different types of connections that can be used, and Dr. Minton can determine which style would be best for you.

All-on-4 ® treatment concept  

Fixed Complete Dentures are a wonderful alternative to removable dentures. The fixed complete dentures are permanently attached and can only be removed by your dentist. They are rock-solid and can be made of either denture acrylic or ceramics for improved esthetics and resistance to staining.

Implant Overdentures

Implants can be used to greatly improve the retention, stability, comfort and function of removable dentures. There are multiple ways to attach the denture to the implants, and Dr. Minton can help determine the best alternative for you.

 
 
 
 
 
 
 
 

AFFILIATIONS